
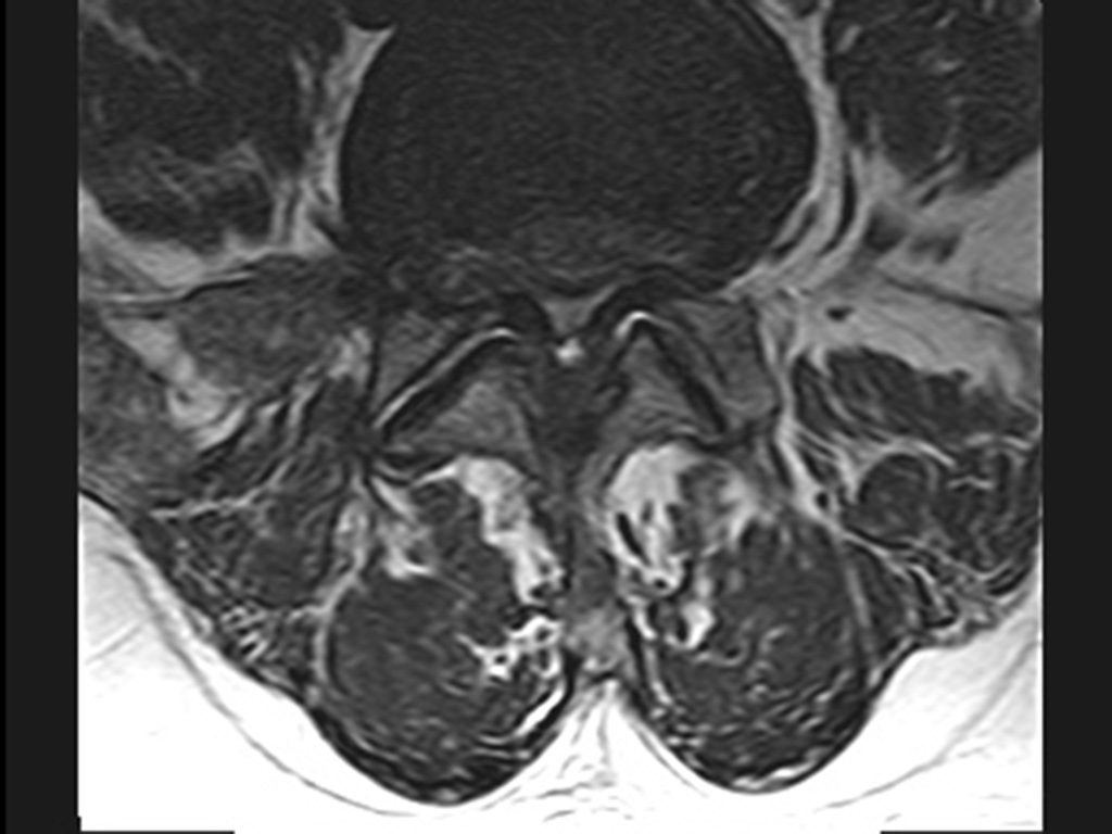
Stenosen des Wirbelkanals können durch Vergrößerung der Wirbelgelenke im Alter entstehen, aber auch durch Verdickung der Bänder zwischen den Wirbeln, durch Gelenkzysten oder durch übermäßige Vermehrung der Fettpolster im Wirbelkanal. All das kann dazu führen, dass der mit Nervenwasser (Liquor) gefüllte Nervenwurzelschlauch von außen so sehr komprimiert wird, dass es zu Schmerzen in den Beinen oder auch im Rücken unter Bewegung kommt. Die schmerzfreie Gehstrecke kann dabei auf wenige Meter schrumpfen, so dass die Mobilität erheblich eingeschränkt wird.
Da die Veränderungen in der Regel nicht von selbst verschwinden, sondern im Laufe der Zeit eher zunehmen, ist eine Operation in diesen Fällen die beste Lösung. Nur wenn der Allgemeinzustand zu schlecht ist oder ein hohes Alter die Operation risikoreich erscheinen lässt, sind computertomographie-gestützte Injektionen (PRT-periradikuläre Therapie) eine Alternative, die aber meist nur von kurzer Dauer ist und dann regelmäßig wiederholt werden muss.
